Call me back

We’re Accepting New Patients!

Read More Next

Looking for a caring and professional dental practice? We’re excited to welcome new patients to our clinic! Whether you’re due for a check-up, need treatment, or are looking to enhance your smile, our friendly team is here to help.
Contact us today to book your first appointment—we look forward to meeting you!

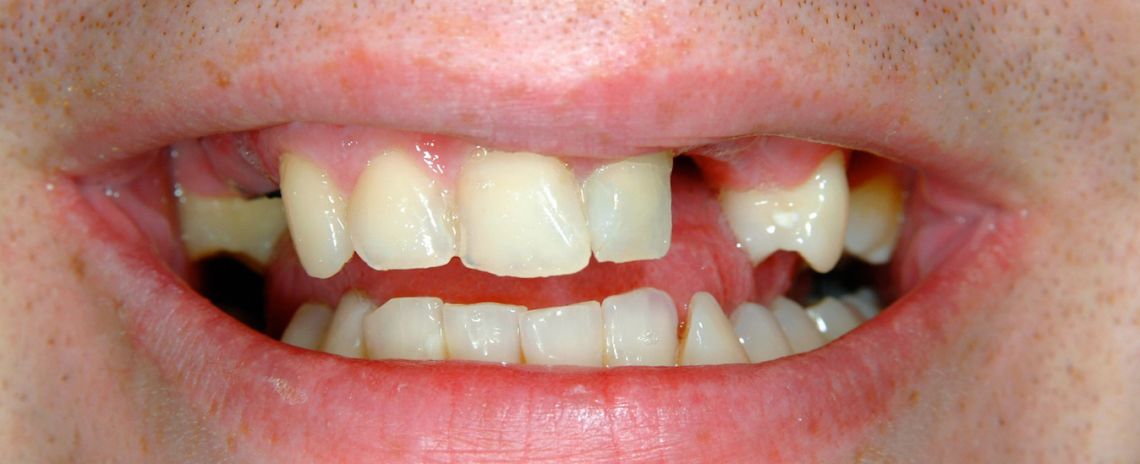
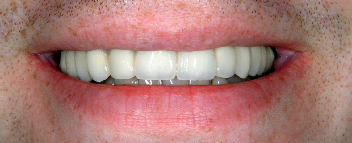
Denture stabilisation with dental implants

Serving patients throughout Surrey, Hampshire and West Sussex

Many patients with no remaining teeth or teeth that need removal, do not want to wear conventional removable dentures. These traditional dentures can become uncomfortable and loose over time as the jawbone shrinks causing eating and speech problems.

We offer an alternative solution at Hindhead Dental Practice using the latest technology and techniques that can change your life. Using dental implants to securely fix a denture in place we can recreate your natural smile with teeth that feel just like your own, restoring both your smile and your quality of life.

Dental implants help to maintain your facial structures by preserving the remaining bone in your jaws. This minimises wrinkles around the mouth by restoring lost lip-support and markedly improves your ability to chew. With dental implants, you can eat whatever you want and enjoy your food again!

Our implant dentist, our dentist will carefully place titanium implants into the jaw to replacing some of the original roots. Between 4 to 8 implants are needed to securely fix a denture in place.

The dental implants then need to be left for a short time for the bone and gum to heal around them before they can support the final denture. This can take between 3 to 6 months. Once that happens, the titanium becomes one with the bone around it, making the foundation for your denture extremely strong and stable. our dentist will then carefully craft and fit your replacement denture, ensuring it blends perfectly with your natural smile.

At Hindhead Dental Practice we can assist with all implant cases, from the simplest to the most complex. Our patients have the peace of mind that they can access progressive technology and benefit from a wealth of experience from our implant dentist, our dentist.

The benefits of implants

  • Implants look and feel just like natural teeth – you shouldn’t notice any difference.
  • With dental implants, replacement teeth are securely anchored without compromising any neighbouring healthy teeth.
  • Implants won’t come loose or fall out.
  • Implants prevent ageing bone loss, by stimulating your bone structure and stabilising the surrounding teeth.
  • Implants can last for many years if you maintain good oral hygiene.

Are you suitable for treatment?

Patients must have healthy gums and enough jawbone to support dental implants. At your initial consultation our dentist will use x-rays and scans to establish if pre-treatment is required and will explain this further.

Some patients may need to see a hygienist for a course of treatment to ensure their gums are strong and healthy before the dental implant process can begin.

our dentist will also check that there is sufficient bone for an implant to be placed successfully at this initial consultation. If there is insufficient bone you may need to need pre-treatment before your dental implants can be placed. This may include oral surgery procedures such as bone grafting, bone expansion or sinus lifts.

To find out more about how dental implants could transform your life, give us a call on 01428 605802 to book a consultation with our dentist today!

Implant Secured Dentures Video
Play
Patient Reviews

People are talking about us

The biggest complement we receive is when our patients refer their friends and family to Hindhead Dental Practice. In fact, we have built much of our practice on these valued, trusted recommendations over the years. Read our reviews to hear why our patients are recommending us…

Patient reviews

804 Reviews

5.0

4th March 2026

Nice people throughout the practice

HN

Harriet Nice

Always great service at Hindhead Dental Practice. Always greeted by a friendly face at reception by Sasha. I go for regular hygienist and dental check ups with Declan every 6 months. Everyone is friendly, considerate and well versed in their craft. Options and advice for ongoing care are recommended with no obligation or pushing to get extra sales. My teeth always come out gleaming after a visit from Julie or Leah! My husband also visits Declan and has had a tooth extraction done and the work/aftercare has been great. Prices are on the higher end of the scale but for the service it’s well worth it. Highly recommend.

25th February 2026

I am a nervous patient but was treated very kindly, with respect and courtesy and I'm actually really pleased that I had the treatment done that was necessary as my teeth feel so much better and it's given me confidence too.

25th February 2026

Excellent service as always.

SB

Scanes Bentley

As friendly as ever and always put you at your ease.

22nd February 2026

Surgery is very clean, light and welcoming. Staff are very pleasant, helpful and professional. They encourage you by recommending the best way to look after your teeth without any pressure to undertake expensive additional treatments.

JS

Juanita Sherman

Excellent treatment from hygienist today for myself and my husband. Thoroughly recommend this friendly, efficient practice

KB

Kim Butler

Excellent care and attention.

12th February 2026

Friendly professional service

11th February 2026

I am impressed with ability and skill of dentist

11th February 2026

Paul is an outstanding dentist who I have used for over 30 years.HIGHLY competent.Sacha is a delightful receptionist.

8th February 2026

Appointment made easilyDeclan explained everything very clearly and seemed to have time to listen and answer any questions. He has a relaxed and gentle approach.

6th February 2026

Julie Benn and her nurse provide excellent care

4th February 2026

From the time I arrived the reception staff was friendly and helpful. The hygenist Julie was very approachable and has excellent communication skills going through the proposed treatment carefully and offering different options. There was plenty of kindly offered advice and practical help on how to improve my oral hygiene at home. She was patient, friendly and very encouraging. I left after the treatment feeling that everything possible was being done to ensure that the condition of my gums was their greatest priority. Julie is one of the very best dental hygenists I have ever been to and am very glad to have found her. I am very happy with the practice and would recommend it to others.

PP

Paul Pledger

Friendly, attentive, informative and reassuring. Yes a filling costs £200 but there's probably various options on their website. Detailed advice on how to care for your teeth and gums, without being patronising.

RG

Roger Grazebrook

Excellent, as always.

KH

Katherine Hood

Julie was fabulous as always!

24th January 2026

The hygienist was excellent at explaining everything, she took time to answer my questions and I felt she carefully considered my dental hygiene needs.

CM

Caroline Mitchell

Professional friendly service. Immaculate surgery. Great dental care.

23rd January 2026

Extremely high standard of care from everyday the clinic. Professional expertise, courtesy, helpfulness all exceptionally good

Prev Previous
Next Next

Why choose us?

Dental Implants

Dental
Implants

Five Star Customer Service

Five Star
Customer Service

Dental Hygienist

Dental
Hygienist

Disabled Access

Disabled
Access

Leading Dental Care

Leading
Dental Care