Call me back

We’re Accepting New Patients!

Read More Next

Looking for a caring and professional dental practice? We’re excited to welcome new patients to our clinic! Whether you’re due for a check-up, need treatment, or are looking to enhance your smile, our friendly team is here to help.
Contact us today to book your first appointment—we look forward to meeting you!

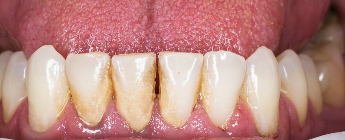
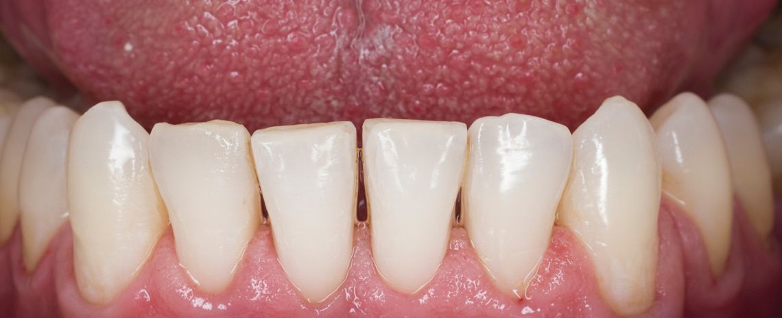
Airflow stain removal

Restore your natural, bright smile with Airflow stain removal at Hindhead Dental Practice.

In less than 30 minutes, your teeth will be completely rejuvenated by this advanced cleaning system which brightens your smile and freshens your breath.

While traditional cleaning methods remove plaque from the tooth’s surface and gum-line, the Airflow cleaning system also eradicates stains and leaves teeth noticeably brighter.

The system uses a jet of water, compressed air, and fine powder particles to clean the teeth and remove staining. No instruments are used on the tooth’s surface, doing away with the ‘scaling and polishing’ technique that can cause discomfort or sensitivity.

If you would like to experience cleaner teeth and fresher breath, give us a call on 01428 605802.

Patient Reviews

People are talking about us

The biggest complement we receive is when our patients refer their friends and family to Hindhead Dental Practice. In fact, we have built much of our practice on these valued, trusted recommendations over the years. Read our reviews to hear why our patients are recommending us…

Patient reviews

808 Reviews

5.0

7th March 2026

Every thing was explained , expedient and successful

KS

Katie Scott

Would highly recommend this dental practice as the staff are very friendly and provide a great service.

6th March 2026

I have been seeing this hygienist for several years . She is very professional, friendly and puts you at ease . Explains everything and gives good advice . Already booked for 3 months .

5th March 2026

Friendly, helpful and very efficient attention

4th March 2026

Nice people throughout the practice

HN

Harriet Nice

Always great service at Hindhead Dental Practice. Always greeted by a friendly face at reception by Sasha. I go for regular hygienist and dental check ups with Declan every 6 months. Everyone is friendly, considerate and well versed in their craft. Options and advice for ongoing care are recommended with no obligation or pushing to get extra sales. My teeth always come out gleaming after a visit from Julie or Leah! My husband also visits Declan and has had a tooth extraction done and the work/aftercare has been great. Prices are on the higher end of the scale but for the service it’s well worth it. Highly recommend.

25th February 2026

I am a nervous patient but was treated very kindly, with respect and courtesy and I'm actually really pleased that I had the treatment done that was necessary as my teeth feel so much better and it's given me confidence too.

25th February 2026

Excellent service as always.

SB

Scanes Bentley

As friendly as ever and always put you at your ease.

22nd February 2026

Surgery is very clean, light and welcoming. Staff are very pleasant, helpful and professional. They encourage you by recommending the best way to look after your teeth without any pressure to undertake expensive additional treatments.

JS

Juanita Sherman

Excellent treatment from hygienist today for myself and my husband. Thoroughly recommend this friendly, efficient practice

KB

Kim Butler

Excellent care and attention.

12th February 2026

Friendly professional service

11th February 2026

I am impressed with ability and skill of dentist

11th February 2026

Paul is an outstanding dentist who I have used for over 30 years.HIGHLY competent.Sacha is a delightful receptionist.

8th February 2026

Appointment made easilyDeclan explained everything very clearly and seemed to have time to listen and answer any questions. He has a relaxed and gentle approach.

6th February 2026

Julie Benn and her nurse provide excellent care

4th February 2026

From the time I arrived the reception staff was friendly and helpful. The hygenist Julie was very approachable and has excellent communication skills going through the proposed treatment carefully and offering different options. There was plenty of kindly offered advice and practical help on how to improve my oral hygiene at home. She was patient, friendly and very encouraging. I left after the treatment feeling that everything possible was being done to ensure that the condition of my gums was their greatest priority. Julie is one of the very best dental hygenists I have ever been to and am very glad to have found her. I am very happy with the practice and would recommend it to others.

PP

Paul Pledger

Friendly, attentive, informative and reassuring. Yes a filling costs £200 but there's probably various options on their website. Detailed advice on how to care for your teeth and gums, without being patronising.

RG

Roger Grazebrook

Excellent, as always.

Prev Previous
Next Next

Why choose us?

Dental Implants

Dental
Implants

Five Star Customer Service

Five Star
Customer Service

Dental Hygienist

Dental
Hygienist

Disabled Access

Disabled
Access

Leading Dental Care

Leading
Dental Care