
Call me back
We’re Accepting New Patients!
Looking for a caring and professional dental practice? We’re excited to welcome new patients to our clinic! Whether you’re due for a check-up, need treatment, or are looking to enhance your smile, our friendly team is here to help.
Contact us today to book your first appointment—we look forward to meeting you!
- Home
- Treatments
- Smile makeover
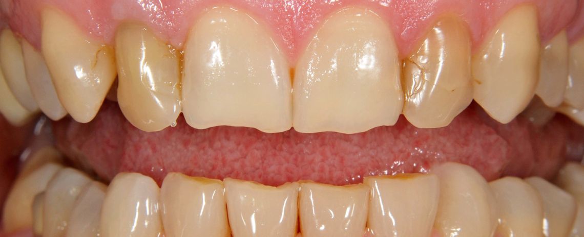
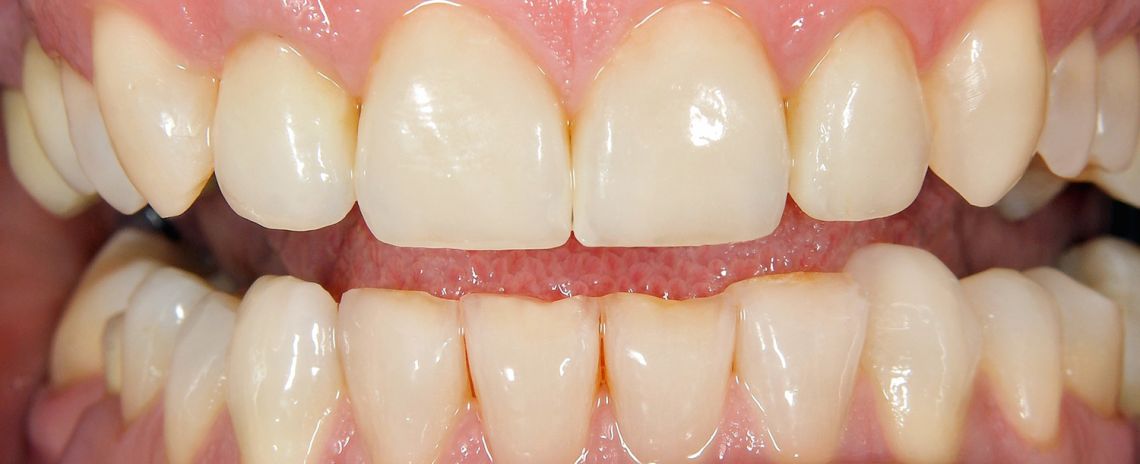
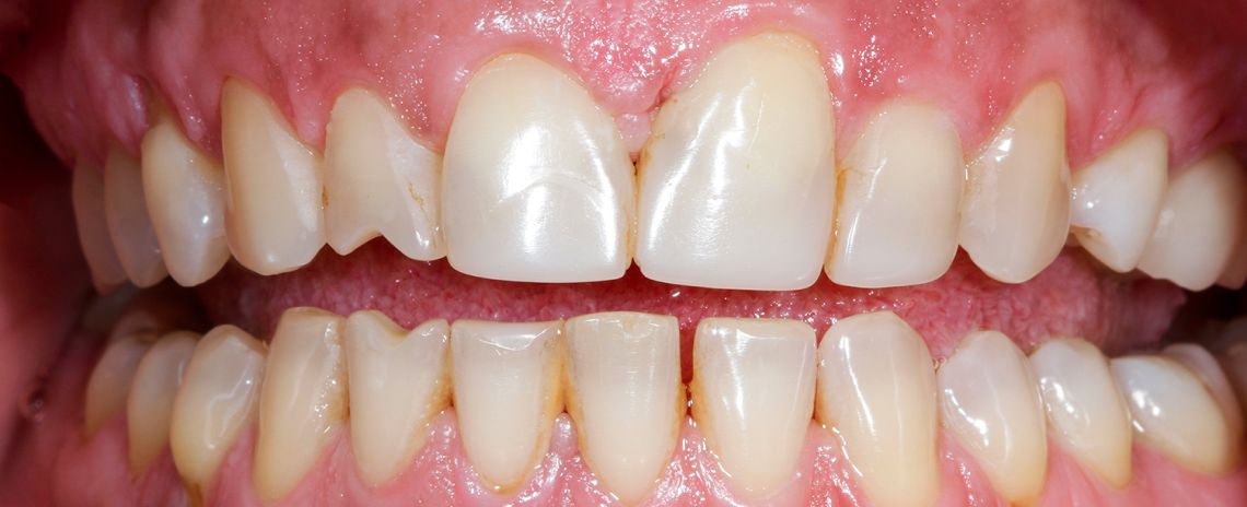
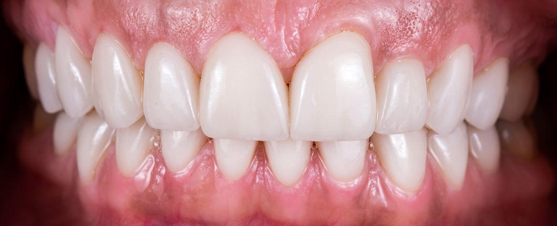
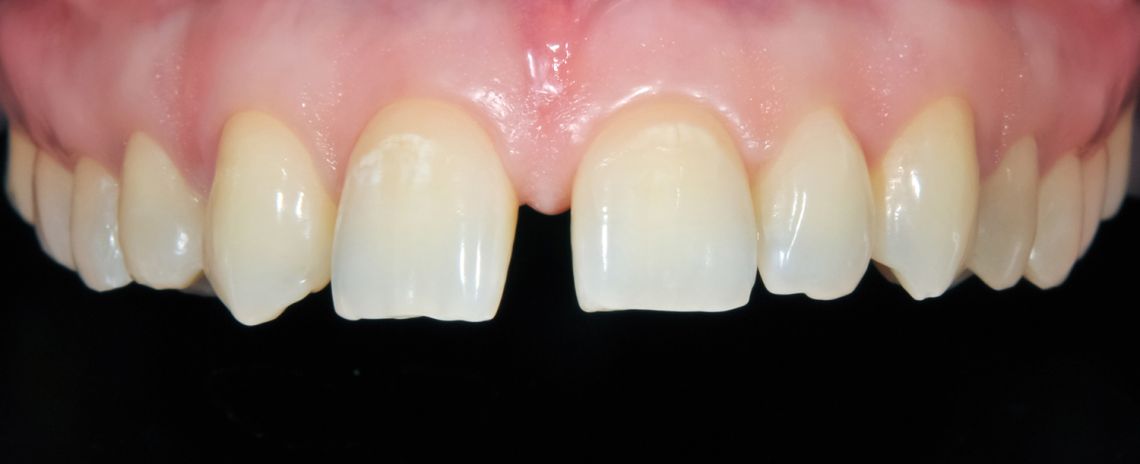
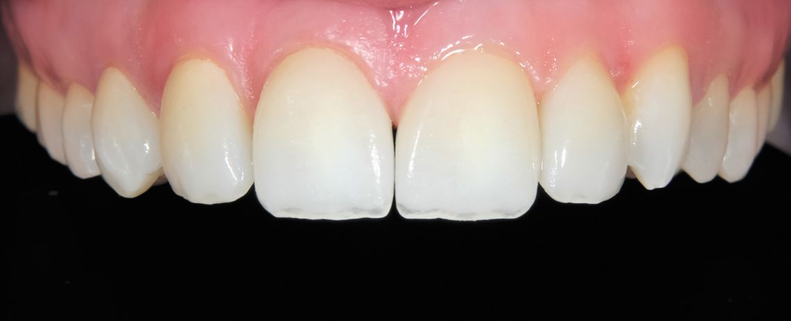
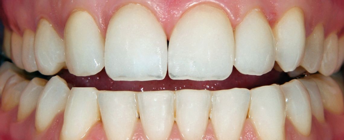
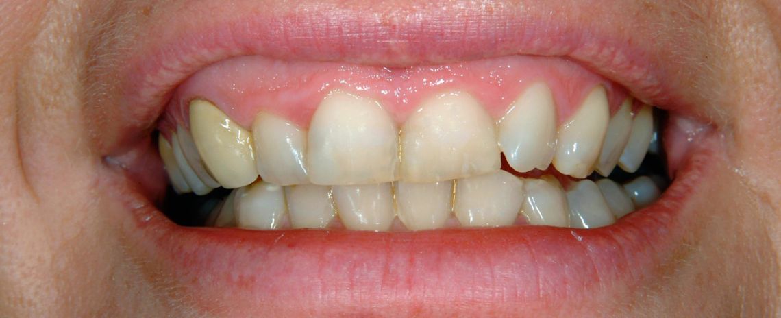
Repair, renew, transform
Give nature a helping hand with our smile makeovers at Hindhead Dental Practice. We offer a comprehensive range of treatments to help you achieve that winning smile.
A Smile Makeover is a combination of both the skill of the dentist and advanced cosmetic dental treatments in order to create your best possible smile. Whatever your reasons for wanting a smile makeover, there are many different ways in which we can help with:
- Whitening stained teeth
- Straighten crooked teeth
- Repair, replace and improve the appearance of chipped or broken teeth
- Replace missing teeth
- Improve a "gummy" smile
The result of a Smile Makeover should be a smile to be proud of; straighter, whiter and better aligned.
Related pages
Before and after

















People are talking about us
The biggest complement we receive is when our patients refer their friends and family to Hindhead Dental Practice. In fact, we have built much of our practice on these valued, trusted recommendations over the years. Read our reviews to hear why our patients are recommending us…
Patient reviews
727 Reviews
17th October 2025
Very helpful and professional team who take a pride in their work.
14th October 2025
I have an excellent dentist and everyone at the Practice is very helpful and friendly.
12th October 2025
Because of hospital treatment my dental treatment needs to be worked in unison with Guildford hospital, awkward for both the dental surgeon and myself. The dentist is working very hard to make the treatment satisfactory for all parties.
Yevheniia
Nice and professional staff! I got very positive experience, literally was saved here
David Lentaigne
Very helpful friendly and professional. How did the trip to Brittany go?
2nd October 2025
The whole team is professional, efficient, highly skilled, friendly and caring….what more could I ask?
2nd October 2025
A dead tooth had fallen out . Within 24 hrs later I had a new replacement tooth fitted. I was delighted and was going to email my thanks to the dentist I am delighted to be able to fill out this questionnaire
1st October 2025
Julie Benn, incredibly professional and knowledgable . Gentle considerate and friendly. A great ambassador / asset to the company . Fantastic experience would highly recommend .
1st October 2025
I’ve been a patient for many years. I always feel comfortable and confident with the treatments I need.
Julia Maughan
Friendly welcoming staff and straight forward treatment explained at every step. Highly recommended
23rd September 2025
Confident in the professionalism of the expert and secure in the knowledge that I would be very well cared for - which was the case. I was in excellent hands - hands that exuded trust.
Jill Gadsden
I had an excellent experience Very efficient and painless
Robin G
Good advice, as always, from Paul & his team - this time given a 'clean bill of health'.
17th September 2025
Professional staff. Excellent care provided.Advice given Friendly.Reassuring. Environment is clean and welcoming.Assistance given as I have mobility problems.
17th September 2025
I have been attending Hindhead Dental for 30 years, I guess, and throughout that time the practice as always been highly professional, efficient and effective. A chap could ask for nothing more.
Pen Ny
Have been coming here for years, lovely staff, professional and friendly.
Geraldine Pipping
Very professional and caring dental clinic.
13th September 2025
Pleasant and efficient reception staff, calm atmosphere and warm, caring and gentle dentist.
Debbie Newman
Always a warm and professional service. A big Thank You to Paul and his team!
Karen Halcrow
The staff and Paul always give amazing care , friendly helpful and makes going to the dentist less of a worry as I know they will totally look after me and explain all the treatment before starting.