Call me back

We’re Accepting New Patients!

Read More Next

Looking for a caring and professional dental practice? We’re excited to welcome new patients to our clinic! Whether you’re due for a check-up, need treatment, or are looking to enhance your smile, our friendly team is here to help.
Contact us today to book your first appointment—we look forward to meeting you!

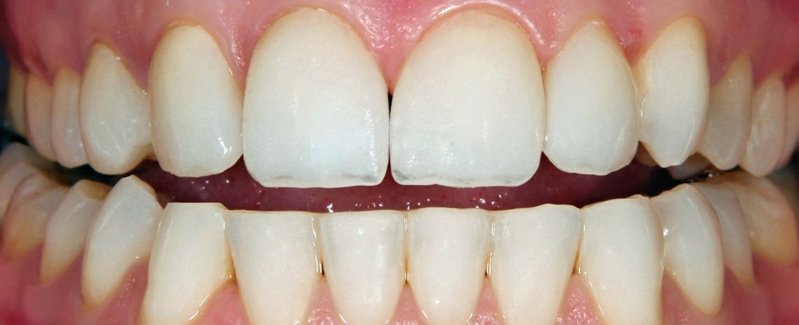
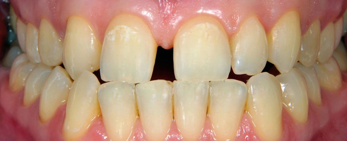
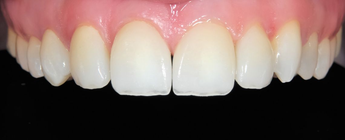
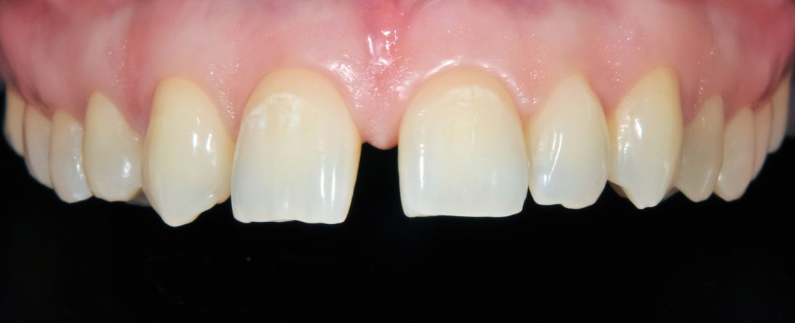
Teeth straightening

Serving patients throughout Surrey, Hampshire and West Sussex

Never before have there been so many ways to have your teeth straightened.

Teeth straightening is a dental speciality known as Orthodontics. Using fixed braces or removable aligners, teeth are slowly and precisely moved to achieve a beautifully aligned smile.

Dentists and Orthodontists have been straightening teeth for decades, but a lot has changed in that time. Traditional fixed braces will always be a fantastic way to straighten teeth, but advances in technology have now introduced a range of discreet alternatives. From clear removable aligners, clear fixed braces to invisible wires hidden behind the teeth, these aesthetic options have seen a huge rise in the number of adults seeking straighter teeth.

Orthodontic treatment is most often used to improve the appearance and alignment of crooked, protruding or crowded teeth, and to correct problems with the bite of the teeth. Whether you have mild crowding or a complex bite problem, our teeth straightening dentist our dentist, can help you to achieve your perfect smile.

At Hindhead Dental Practice in Hindhead we offer the following teeth straightening options:

  • Invisalign
  • Clear aligners

Treatment times vary depending on your individual alignment needs. For simple cases this could be just a few months, but for more complex movements, it usually takes between 12 months and two years to achieve your beautiful new smile. our dentist will give you an idea of how long your teeth straightening treatment may take during your initial consultation.

Benefits of dental braces or clear aligners from Hindhead Dental Practice in Hindhead

  • Dramatically improve the appearance of your smile and potentially provide a life-changing confidence boost.
  • Improve the way your teeth function and bite together – they can even help some speech problems.
  • Straighter teeth provide food and plaque with fewer places to hide, making it easier for you to keep your smile clean and healthy.
  • If you follow aftercare advice and wear your retainers, your results can last a lifetime.

Am I suitable for teeth straightening?

Your teeth and gums need to be healthy before you can start treatment. If you have any implants, crowns, bridges, or veneers you can still wear braces, we can usually work around them.

If you are looking for teeth straightening or orthodontics in Surrey, Hampshire and West Sussex and want to know more about how this could work for you, get in touch to arrange a consultation at Hindhead Dental Practice.

Patient Reviews

People are talking about us

The biggest complement we receive is when our patients refer their friends and family to Hindhead Dental Practice. In fact, we have built much of our practice on these valued, trusted recommendations over the years. Read our reviews to hear why our patients are recommending us…

Patient reviews

820 Reviews

5.0
DP

DAVE PICKERING

Very good

29th March 2026

Everyone is so kind and helpful, as well as been very competent in there rolls in the practice.Thank you

28th March 2026

The whole team, clinician , nurses, reception staff are all well trained caring and go out of their way to welcome you. This comes from the clinicians , the example they set and the high standard they wish to maintain

28th March 2026

Excellent service, as always.

27th March 2026

Everyone friendly and helpful.

FW

Fraser Wilson

Thorough and professional treatment as always. I am always welcomed warmly. I have always left feeling happy and without any pain. Throughly recommended.

20th March 2026

The pleasant attitude of all members of the team, with whom I had contact.

JB

Jane Brooks

Always a friendly and supportive service.

ED

Edward Doe

Hindhead Dental Clinic gives 1st rate dental care with charm & efficiency

15th March 2026

Information given

12th March 2026

Both Paul and Leah exercised both professionalism and great patient contact, as usual!

MQ

Matthias Quinn

Absolutely amazing, professional care. Even my children love going to the dentist now. Super start service ✨

7th March 2026

Every thing was explained , expedient and successful

KS

Katie Scott

Would highly recommend this dental practice as the staff are very friendly and provide a great service.

6th March 2026

I have been seeing this hygienist for several years . She is very professional, friendly and puts you at ease . Explains everything and gives good advice . Already booked for 3 months .

5th March 2026

Friendly, helpful and very efficient attention

4th March 2026

Nice people throughout the practice

HN

Harriet Nice

Always great service at Hindhead Dental Practice. Always greeted by a friendly face at reception by Sasha. I go for regular hygienist and dental check ups with Declan every 6 months. Everyone is friendly, considerate and well versed in their craft. Options and advice for ongoing care are recommended with no obligation or pushing to get extra sales. My teeth always come out gleaming after a visit from Julie or Leah! My husband also visits Declan and has had a tooth extraction done and the work/aftercare has been great. Prices are on the higher end of the scale but for the service it’s well worth it. Highly recommend.

25th February 2026

I am a nervous patient but was treated very kindly, with respect and courtesy and I'm actually really pleased that I had the treatment done that was necessary as my teeth feel so much better and it's given me confidence too.

25th February 2026

Excellent service as always.

Prev Previous
Next Next